[10000印刷√] pheochromocytoma 221544-Pheochromocytoma pathology outlines
Pheochromocytomas are tumors of the adrenal glands These glands are located right above the kidneys Pheochromocytomas cause the adrenal glands to make too many stress hormones called epinephrines and norepinephrinesPheochromocytomas are a type of paraganglioma They are catecholaminesecreting tumors derived from chromaffin cells They typically demonstrate a nesting (Zellballen) pattern on microscopy This pattern is composed of welldefined clusters of tumor cells containing eosinophilic cytoplasm separated by a fibrovascular stromaA pheochromocytoma (feeokroemoesyTOEmuh) is a rare, usually noncancerous (benign) tumor that develops in an adrenal gland You have two adrenal glands —one located at the top of each kidney Usually, a pheochromocytoma develops in only one adrenal gland But tumors can develop in both

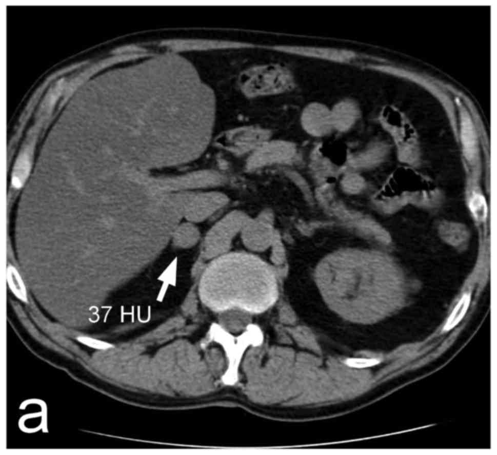
Pheochromocytoma In An Incidentally Discovered Asymptomatic Cystic Adrenal Mass Mayo Clinic Proceedings
Pheochromocytoma pathology outlines
Pheochromocytoma pathology outlines-Ninety percent of patients are cured by surgery to remove benign pheochromocytoma tumors 3 Surgery for tumor removal is typically done by laparoscopy, during which a small incision is made in the abdomen 3, 4 During surgery to remove the tumor, the physician will usually examine nearby organs to determine whether the pheochromocytoma has spread to other parts of the bodyWhat are common symptoms of pheochromocytoma?



Medical Management Of Pheochromocytoma Role Of The Endocrinologist Garg M K Kharb S Brar K S Gundgurthi A Mittal R Indian J Endocr Metab
A pheochromocytoma (PCC) is a rare tumor that usually grows in your adrenal glands, above your kidneys It's also known as an adrenal paraganglioma or a chromaffin cell tumor It's most common inAdrenal pheochromocytoma is a tumor that forms on the adrenal glands These tumors are usually benign (not cancer) Rarely, they are malignant (cancer) and need more treatment The tumor causes your adrenal glands to make too much adrenal hormonePheochromocytoma, or "pheo," is a rare tumor that develops in the adrenal glands It affects the production of adrenalin and can result in high blood pressure and other health concerns It is
Pheochromocytoma is a rare tumor that forms in the adrenal medulla (the center of the adrenal gland) Paragangliomas form outside the adrenal gland Certain inherited disorders and changes in certain genes increase the risk of pheochromocytoma or paragangliomaPheochromocytomas are tumors of the adrenal gland that produce excess adrenaline Pheochromocytomas arise from the central portion of the adrenal gland, which is called the adrenal medullaPheochromocytoma is a tumor found in the adrenal medulla (the inner part of the adrenal gland) The adrenal medulla makes the hormones adrenaline (epinephrine) and noradrenaline (norepinephrine) If a tumor forms in this area, it can cause too much of these hormones to be made This can be very dangerous, as it causes very high blood pressure
Introduction Malignant pheochromocytoma represents 10% of all patients with pheochromocytoma Of these cases, only 59% presents without elevation of metanephrines and catecholamines Presentation of case A 43yearold female patient presented with an abdominal tumor An exploratory laparotomy was performed and the final report was a pheochromocytomaPheochromocytomas (PCCs) are tumors of the chromaffin cells that arise within the adrenal medulla They belong to a group of diseases termed neuroendocrine tumors (NETs)What is Pheochromocytoma Adrenal gland tumor, specifically at the medulla is called pheochromocytoma This condition would result to excessive secretion of catecholamines (norepinephrine and epinephrine), the hormones that influence metabolism, blood pressure and heart rate



Approaching A 10 Cm Pheochromocytoma Laparoscopically From The Sages Video Library



Pheochromocytoma Causes Findings Diagnosis Treatment Youtube
Pheochromocytoma is a rare tumor of adrenal gland tissue It results in the release of too much epinephrine and norepinephrine, hormones that control heart rate, metabolism, and blood pressureThe diagnosisis of pheochromocytomas is fairly straightforward and involves measuring the amount of adrenaline and its associated hormones in the blood and urine The diagnosis of pheochromocytoma is made by showing the amount of adrenaline (epinepherine and others) is higher than it should beA tumour arising from catecholamineproducing chromaffin cells of the adrenal medulla that classically presents with headaches, diaphoresis, and palpitations in the setting of paroxysmal hypertension Symptoms are usually episodic and tend to progress as the tumour grows The majority of these tumours are benign



Pheochromocytoma And Paraganglioma Adrenal Gland Diseases Endocrinology Diseases Mcmaster Textbook Of Internal Medicine



6 P S Of Pheochromocytoma Nursing School Humor School Humor Endocrine Disorders
Pheochromocytomas, sometimes simply referred to as "pheos", are rare tumors that develop in the inner region (medulla) of the adrenal gland The adrenal medulla plays an instrumental role in synthesizing and secreting catecholamines – hormones such as epinephrine (adrenaline) and norepinephrine (noradrenaline)Phaeochromocytomas are rare tumours that start in the inner section of the adrenal gland (the medulla) Treatment depends on several factors, including the size of your tumour, whether it has spread and your general health and fitnessPheochromocytomas are rare tumors that originate from the adrenal medulla They have been most commonly reported in dogs, horses, and cattle Clinical signs associated with pheochromocytomas are nonspecific, and these tumors can be challenging to diagnose Pheochromocytomas occur in domestic species, including dogs and rarely cats


What Is A Pheochromocytoma Urology Specialist



Therapy Of Endocrine Disease Treatment Of Malignant Pheochromocytoma And Paraganglioma In European Journal Of Endocrinology Volume 171 Issue 3 14
What is Pheochromocytoma Adrenal gland tumor, specifically at the medulla is called pheochromocytoma This condition would result to excessive secretion of catecholamines (norepinephrine and epinephrine), the hormones that influence metabolism, blood pressure and heart rateI was diagnosed with a pheochromocytoma this year in 16, of size 29 cm in my adrenal gland My symptoms were high blood pressure 195/106, 224/106 range usually in the morning hours When my blood pressure spiked high my heart would go into an irregular heartbeat tachycardia and I would get a pretty good headacheA pheochromocytoma is a catecholaminesecreting tumor of chromaffin cells typically located in the adrenals It causes persistent or paroxysmal hypertension Diagnosis is by measuring catecholamine products in blood or urine Imaging tests, especially CT or MRI, help localize tumors



Pheochromocytoma


Pathology Of Adrenal Pheochromocytoma Dr Sampurna Roy Md
A pheochromocytoma is a tumor in the adrenal gland It causes the gland to make too much of the hormones epinephrine and norepinephrine This tumor usually occurs when you are in your 30s, 40s, or 50s It happens to both men and womenPheochromocytoma (PHEO or PCC) is a rare tumor of the adrenal medulla composed of chromaffin cells, also known as pheochromocytes When a tumor composed of the same cells as a pheochromocytoma develops outside the adrenal gland, it is referred to as a paragangliomaAdrenal pheochromocytoma is a tumor that forms on the adrenal glands These tumors are usually benign (not cancer) Rarely, they are malignant (cancer) and need more treatment The tumor causes your adrenal glands to make too much adrenal hormone



Pheochromocytoma And Paraganglioma Nejm



Pheochromocytoma And Paraganglioma Nejm
Pheochromocytoma is a rare tumor that usually develops from one of the body's two adrenal glands, located above each kidney in the back of the upper abdomenNICHD Eunice Kennedy Shriver National Institute of Child Health and Human Development What are common symptoms of pheochromocytoma?Pheochromocytomas are rare tumors that make too much adrenaline Pheochromocytoma are found in 2 out of every million people each year and are the cause of high blood pressure in less than 02% of people with high blood pressure



Understanding Pheochromocytoma A Tumor That Can Trigger High Bp Apollo Hospitals Blog



Pheochromocytoma Tumor Of Adrenal Gland Tissue
Pheochromocytomas are rare tumors that originate from the adrenal medulla They have been most commonly reported in dogs, horses, and cattle Clinical signs associated with pheochromocytomas are nonspecific, and these tumors can be challenging to diagnose Pheochromocytomas occur in domestic species, including dogs and rarely catsPheochromocytoma is a rare tumor of adrenal gland tissue It results in the release of too much epinephrine and norepinephrine, hormones that control heart rate, metabolism, and blood pressureNinety percent of patients are cured by surgery to remove benign pheochromocytoma tumors 3 Surgery for tumor removal is typically done by laparoscopy, during which a small incision is made in the abdomen 3, 4 During surgery to remove the tumor, the physician will usually examine nearby organs to determine whether the pheochromocytoma has spread to other parts of the body


1


Difference Between Pheochromocytoma And Neuroblastoma Difference Between
Pheochromocytoma, also called chromaffinoma, tumour, most often nonmalignant, that causes abnormally high blood pressure (hypertension) because of hypersecretion of substances known as catecholamines (epinephrine, norepinephrine, and dopamine)Adrenal (ahDREEnal) pheochromocytoma (feeokromosiTOmah) is a rare tumor of the adrenal glands The adrenal glands are triangularshaped glands that sit on top of the kidneys They produce hormones and chemicals that keep blood sugar and blood pressure levels normalPheochromocytoma is a rare type of tumor that arises from certain cells known as chromaffin cells, which produce hormones necessary for the body to function properly Most pheochromocytomas originate in one of the two adrenal glands located above the kidneys in the back of the upper abdomen



Malignant Pheochromocytoma A Review Sciencedirect



Medical Management Of Pheochromocytoma Role Of The Endocrinologist Garg M K Kharb S Brar K S Gundgurthi A Mittal R Indian J Endocr Metab
Pheochromocytoma causes a variety of signs and symptoms, including (in alphabetical order)Pheochromocytoma or 'Pheo' is a rare tumor that develops between the adrenal glands Affecting the production of adrenaline, norepinephrine, and epinephrine hormones in the body, this tumor puts the body into a state of stressresponse, causing blood pressure to riseThe diagnosisis of pheochromocytomas is fairly straightforward and involves measuring the amount of adrenaline and its associated hormones in the blood and urine The diagnosis of pheochromocytoma is made by showing the amount of adrenaline (epinepherine and others) is higher than it should be



Pathology Outlines Pheochromocytoma



Signs And Symptoms Of Pheochromocytoma Anxiety Download Table
Pheochromocytoma is a rare tumor that usually develops from one of the body's two adrenal glands, located above each kidney in the back of the upper abdomenPhaeochromocytomas are rare cancers that start in the inner section of the adrenal gland (the medulla) The adrenal gland medulla makes the hormones adrenaline and noradrenaline Phaeochromocytomas can make too much of these hormones This can cause symptoms including sweating, headaches and high blood pressurePheochromocytomas are rare endocrine tumors that can present insidiously and remain undiagnosed until death or onset of clear manifestations of catecholamine excess They are often referred to as one of the 'great mimics' in medicine These tumors can no longer be regarded as a uniform disease entit



Symptoms Of Pheochromocytoma Of The Adrenal Gland Symptoms Of Pheo S



Pheochromocytoma Market Segment Size Share Global Trends 25 Mrfr
Pheochromocytoma This condition causes excessive secretion of adrenaline and noradrenaline Symptoms include sweating, high blood pressure, headache, anxiety, weakness and weight loss Share Facebook Twitter LinkedIn Email Print Last reviewed by a Cleveland Clinic medical professional on 06/30/18Pheochromocytoma is a type of neuroendocrine tumor that grows from cells called chromaffin cells These cells produce hormones needed for the body and are found in the adrenal glands The adrenal glands are small organs located in the upper region of the abdomen on top of the kidneysPhaeochromocytomas are a type of paraganglioma They are catecholaminesecreting tumours derived from chromaffin cells They typically demonstrate a nesting (Zellballen) pattern on microscopy This pattern is composed of welldefined clusters of tumour cells containing eosinophilic cytoplasm separated by a fibrovascular stroma



Medical Management Of Pheochromocytoma Role Of The Endocrinologist Garg M K Kharb S Brar K S Gundgurthi A Mittal R Indian J Endocr Metab



Tumor Recurrence And Hypertension Persistence After Successful Pheochromocytoma Operation Hypertension
I was diagnosed with a pheochromocytoma this year in 16, of size 29 cm in my adrenal gland My symptoms were high blood pressure 195/106, 224/106 range usually in the morning hours When my blood pressure spiked high my heart would go into an irregular heartbeat tachycardia and I would get a pretty good headachePhaeochromocytomas are a type of paraganglioma They are catecholaminesecreting tumours derived from chromaffin cells They typically demonstrate a nesting (Zellballen) pattern on microscopy This pattern is composed of welldefined clusters of tumour cells containing eosinophilic cytoplasm separated by a fibrovascular stromaA pheochromocytoma is a tumor that usually originates from the adrenal glands' chromaffin cells, causing overproduction of catecholamines, powerful hormones that induce high blood pressure and other symptoms



General Surgery Pheochromocytoma


Pressor Pheochromocytoma Research Support Organization
Pheochromocytomas (PCCs) are tumors of the chromaffin cells that arise within the adrenal medulla They belong to a group of diseases termed neuroendocrine tumors (NETs)



Perioperative Management Of Pheochromocytoma Journal Of Cardiothoracic And Vascular Anesthesia



Pheochromocytoma Radiology



Antiangiogenic Therapies For Pheochromocytoma And Paraganglioma In Endocrine Related Cancer Volume 27 Issue 7



Current Diagnostic Imaging Of Pheochromocytomas And Implications For Therapeutic Strategy Review



Pheochromocytoma Osmosis



Pdf Pheochromocytoma Current Concepts In Diagnosis And Management



Pheochromocytoma And Paraganglioma Triggered Takotsubo Syndrome Springerlink


An Unexplained Exacerbation Of Depression Anxiety And Panic Mdedge Psychiatry



Pheochromocytoma In An Incidentally Discovered Asymptomatic Cystic Adrenal Mass Mayo Clinic Proceedings



Pheochromocytoma Adrenal Glands Medlineplus



Pheochromocytoma Karger Publishers



Pheochromocytoma Pathology Britannica



Pheochromocytoma Gross Pathology Radiology Case Radiopaedia Org



Neuroendocrine Tumours A Spotlight On Pheochromocytoma And Paraganglioma Ronny Allan Living With Neuroendocrine Cancer



Pheochromocytoma Mnemonic Nursing School Humor Medical Mnemonics Nursing Mnemonics



Diagnostic Accuracy Of Computed Tomography To Exclude Pheochromocytoma A Systematic Review Meta Analysis And Cost Analysis Mayo Clinic Proceedings



Pheochromocytoma Adrenal Gland Tumor Causes Symptoms Diagnosis Treatment Prevention



Pheochromocytoma Cancer Therapy Advisor



Pheochromocytoma Wikipedia



Pdf Pheochromocytoma Current Approaches And Future Directions



Laparoscopic Adrenalectomy La Vs Open Adrenalectomy Oa For Pheochromocytoma Pheo A Systematic Review And Meta Analysis European Journal Of Surgical Oncology



Pheochromocytoma Information Mount Sinai New York



Pheochromocytoma Symptoms And Treatment Youtube



Pheochromocytoma Symptoms And Causes Mayo Clinic



Diagnosis And Management Of Pheochromocytoma In An Academic Hospital 3 Years After Formation Of A Pheochromocytoma Interest Group Endocrine Practice


Pheochromocytoma A Long Term Follow Up Of 24 Patients Undergoing Laparoscopic Adrenalectomy



Pheochromocytoma In Multiple Endocrine Neoplasia Type 2 Mayo Clinic Proceedings



Pheochromocytoma In Pregnancy Hypertension


Pheochromocytoma Disease Malacards Research Articles Drugs Genes Clinical Trials



Tumor Recurrence And Hypertension Persistence After Successful Pheochromocytoma Operation Hypertension



Pheochromocytoma Sciencedirect


Pheochromocytoma Pathology Flashcards Draw It To Know It



Pheochromocytoma Osmosis



Pheochromocytoma Mypathologyreport Ca


Pheochromocytoma Global Indian Nurses Organization



Pheochromocytoma Images Stock Photos Vectors Shutterstock


Pheochromocytoma An Adrenal Gland Tumor Johns Hopkins Medicine



Pheochromocytoma Radiology Case Radiopaedia Org



Pheochromocytoma Hormonal And Metabolic Disorders Merck Manuals Consumer Version



Pheochromocytoma Causes Pathophysiology Symptoms And Treatment Youtube



What Is Pheochromocytoma Pheo Vs Fabulous



Cureus Light Intensity Activity Related Nausea An Unusual Presentation Of Pheochromocytoma


Pheochromocytoma Authorstream



Pediatric Pheochromocytoma



Pheochromocytoma



Pheochromocytoma Wikipedia



Pathology Outlines Pheochromocytoma



Familial Syndromes Associated With Pheochromocytoma And Or Paraganglioma Download Table



Pheochromocytoma Adrenal Medulla Tumor Symptoms Diagnosis Treatment Urology Care Foundation



Pheochromocytoma Tumor Of Adrenal Gland Tissue



An Inconspicuous Pheochromocytoma A Case From The Endocrine Teaching Clinics Mayo Clinic



Bilateral Biochemically Silent Pheochromocytoma Not Silent After All Sciencedirect



A Rare Case Of Extra Adrenal Pheochromocytoma Localized To The Ovary And Detected Via Abdominal Computed Tomography Angiography


Q Tbn And9gctcprr9hyr2xs2risuf Eansh1z72x3ufrzvwqs8vhmtjmoijbi Usqp Cau



Pheochromocytoma As A Reversible Cause Of Cardiomyopathy Analysis And Review Of The Literature International Journal Of Cardiology



Pheochromocytoma



An Inconspicuous Pheochromocytoma A Case From The Endocrine Teaching Clinics Mayo Clinic


Q Tbn And9gcsbooltsiragqbbb76bf7yc3srsm3odtk11bxsaxgnrpjyonzwp Usqp Cau



Pathology Outlines Pheochromocytoma



Imaging Of Pheochromocytoma Youtube



Pheochromocytoma



A Case Of Pheochromocytoma Presenting With Multiple Organ System Failure Itjem



Pheochromocytoma Crisis Intechopen



Pheochromocytoma Symptoms Treatment Diagnosis Prognosis


Q Tbn And9gcrblyiy 8xvyp2qi85qnvdgxiec4cg4zjirrvfluzaiyjgmixje Usqp Cau



Pheochromocytoma Of The Adrenal Gland Scoring Scale Pass 38 Download Table



Performance Of Plasma Fractionated Free Metanephrines By Enzyme Immunoassay In The Diagnosis Of Pheochromocytoma And Paraganglioma Endocrine Practice



60 Pheochromocytoma Ideas Endocrine Endocrine System Endocrine Disorders



Pheochromocytoma Sciencedirect



Molecular Imaging And Radionuclide Therapy Of Pheochromocytoma And Paraganglioma In The Era Of Genomic Characterization Of Disease Subgroups In Endocrine Related Cancer Volume 26 Issue 11 19



Pheochromocytoma Endocrinology



Extra Adrenal Pheochromocytoma Radiology Case Radiopaedia Org



Adrenal Pheochromocytoma Radiology Case Radiopaedia Org


Metastatic Adrenal Pheochromocytoma To The Thoracic Spine



Spontaneous Rupture Of Pheochromocytoma Presenting As Acute Retroperitoneal Hemorrhage The American Journal Of The Medical Sciences



Pheochromocytoma Diagnosis Localization And Treatment Wiley



Flowchart Of Diagnosis And Management Of Pheochromocytoma Download Scientific Diagram



Pheochromocytoma And Paraganglioma Treatment Pdq Patient Version National Cancer Institute



Genetic Status And Clinical Management Of Bilateral Pheochromocytoma



Pheochromocytoma In The Elderly Consultant360
コメント
コメントを投稿